
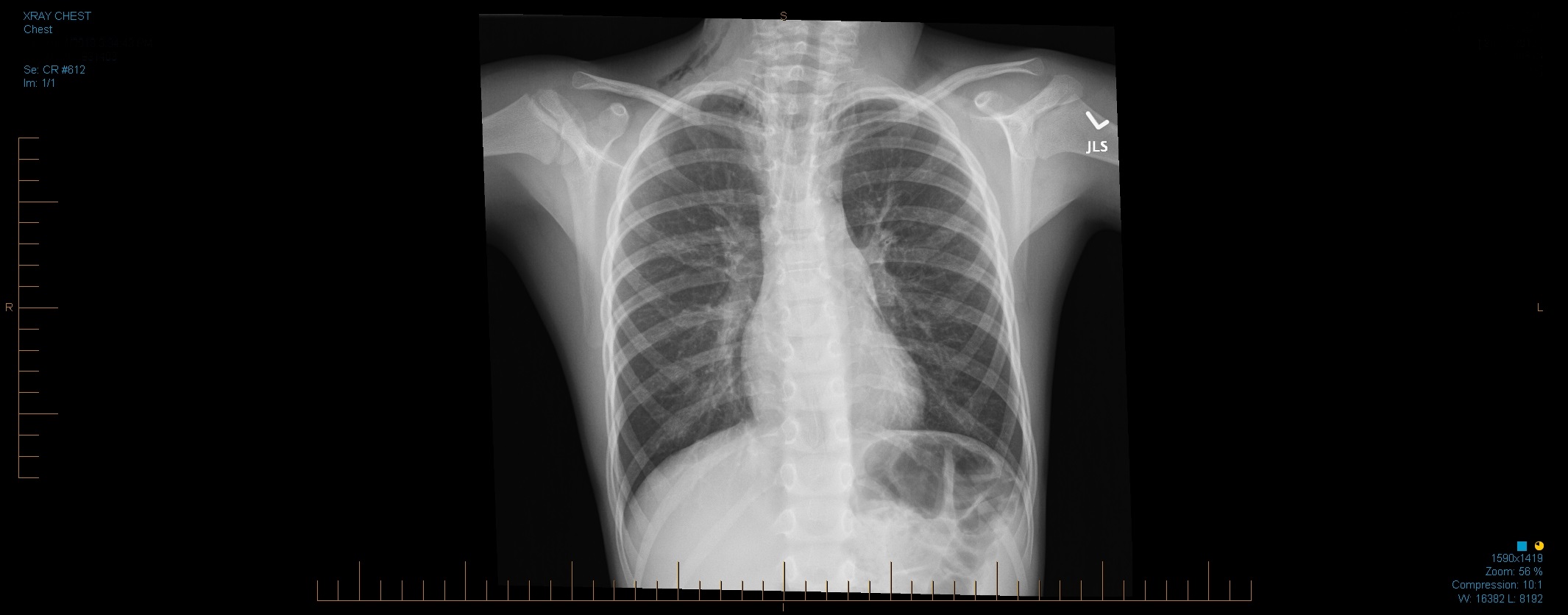
There is gas noted in the right side of the neck as well as the pneumomediastinum.
The lungs are clear. No effusion shown. Cardiac and mediastinal contours
are satisfactory. CT evaluation of the chest and neck could be considered if clinically indicated.
